Dentistes à Saint-Just-Saint-Rambert
Dr Christophe Deage et Dr Sylvie Deage
Cabinet dentaire - Implantologie
Dentistes à Saint-Just-Saint-Rambert
Dr Christophe Deage et Dr Sylvie Deage
Cabinet dentaire - Implantologie

180 Av. du Stade, 42170 Saint-Just-Saint-Rambert

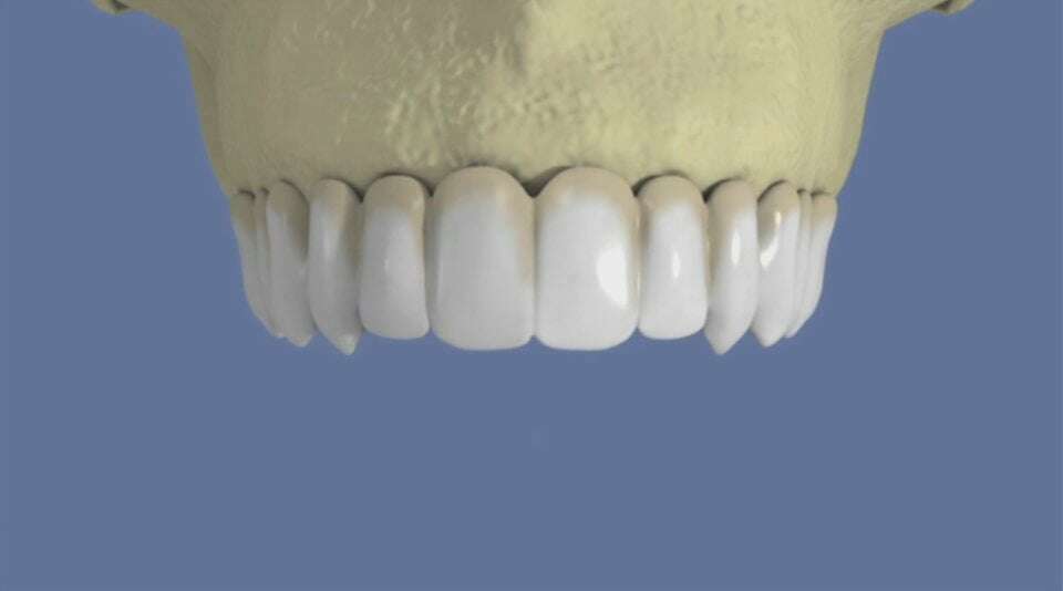
Maxillaire : bridge vissé sans fausse gencive


video-play-icon

Articles similaires

Création par Webdentiste

Connexion